Dentálny implantát je náhrada koreňa zubu a slúži na fixovanie supraštruktúry t.j. korunky, mostíka alebo časti podopretej protézy. Samotnú implantáciu robíme najčastejšie patentovaným protokolom prof. Jescha, ktorá je pre pacienta menšou záťažou ako vytrhnutie zubu. Používame svetovo dlhodobo osvedčené nemecké titánové implantáty Ankylos.
Tam kde je málo kosti robíme dostavbu kosti švajčiarskym produktom Bio- Oss. V prípade kedy je kosť minimálna používame subperiostálny implantát, ktorý je na pacientovu kosť vyhotovený na mieru.
Subperiosteálny implantát
Subperiosteálny implantát je pre pacienta poslednou možnosťou fixácie chrupu v situáciách kedy anatomická štruktúra kosti neumožňuje použitie klasických enoseálnych implantátov resp. tzv. dostavba kosti z rozličných dôvodov nie je žiadúca.
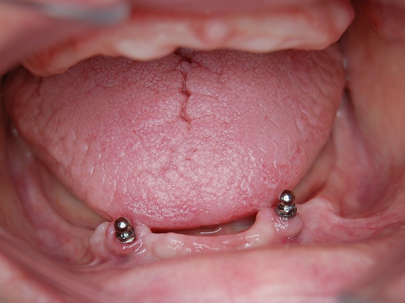
Subperiosteálny implantát je vytvorený presne na mieru . Nalieha priamo na povrch kosti a je väčšinou fixovaný mikroskrutkami. Do ústnej dutiny zasahujú len retenčné prvky pre uchytenie hybridnej snímateĺnej náhrady. Môže byť použitý v maxille aj mandibule.
ESTHE stomatologické a implantologické centrum je prvé na Slovensku ktoré využíva najmodernejšiu technológiu zaručujúcu najlepšie výsledky.
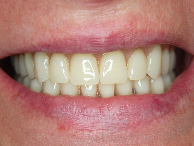
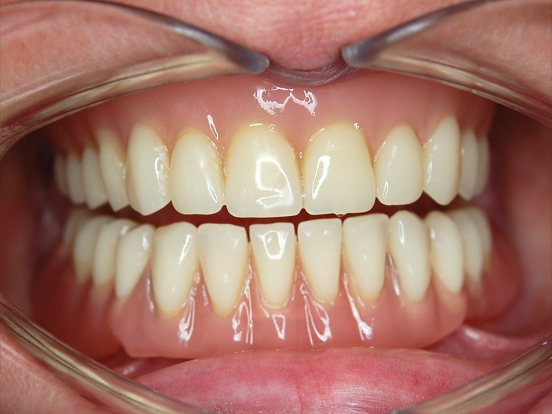
Postup výroby spočíva v CT scane kosti, analýze, digitálnej výrobe 3D modelu kosti, individuálnom nadizajnovaní optimálneho tvaru subperiosteálneho implantátu, ktorý je vyrobený výhradne z bioinertného titánu najvyššej kvality grade 5. Finálny produkt je po povrchovej úprave inzerovaný operačne v lokálnej alebo celkovej anestéze. Pooperačné hojenie sliznice vyžaduje krátky čas ktorý využívame na zhotovenie hybridnej snímateĺnej náhrady podĺa náročnosti pacienta.
Kontraindikáciou sú závažné chronické ochorenia ovplyvňujúce kvalitu kosti, imunitu alebo celkový metabolizmus organizmu. Dôležitá je aj zodpovedná starostlivosť o ústnu hygienu.




