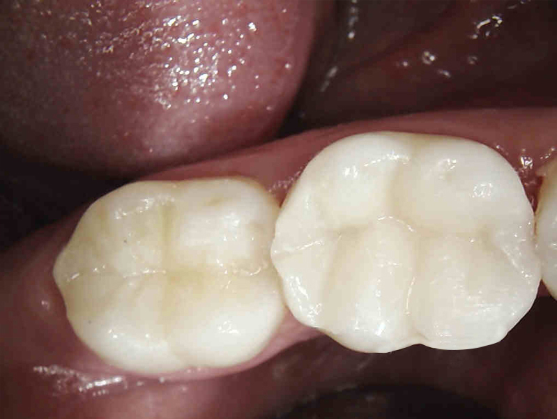
Na výplne zubov používame materiály patriace do Top kategórie na dentálnom trhu.
Nerobíme amalgámové výplne! Samozrejmosťou je bezbolestné ošetrovanie v lokálnej anestéze.
Biele výplne vyhotovujeme z nanohybridných kompozitov alebo keramických inlejí.
Diagnopen
Diagnodent pen je diagnosticky unikátny laserový prístroj, ktorý diferencuje rozdielne fluorescencie zdravej a napadnutej zubnej substancie a už pri malých zmenách demineralizácie určí miesto minimálnej a bezbolestnej liečebnej intervencie bez akejkoľvek radiačnej záťaže. Odhaliť kaz a vyliečiť ho v jeho zárodočnej forme je pre pacienta najšetrnejšie na čas, financie, pocit bolesti no hlavne na zachovanie maxima zdravej zubnej substancie.


